Los doctores Trujillo y Montero consolidan al centro como referente en neurocirugía hipofisaria
El Instituto de Neurociencias Avanzadas (IENSA) celebra un importante logro tras haber realizado 50 intervenciones quirúrgicas a pacientes con adenoma de hipófisis en los últimos cinco años. Este hito confirma el compromiso del centro con la excelencia médica y su liderazgo en el tratamiento de patologías complejas del sistema nervioso.
Un equipo médico de referencia
Detrás de estos resultados se encuentra un equipo altamente especializado, liderado por el Dr. Trujillo, quien acumula una experiencia de más de 1000 casos operados, y el Dr. Montero, con un historial de más de 500 intervenciones de adenoma de hipófisis a lo largo de su carrera. Ambos profesionales son reconocidos en el ámbito nacional e internacional por su destreza quirúrgica y dedicación al paciente.
Avances en el tratamiento de los adenomas hipofisarios
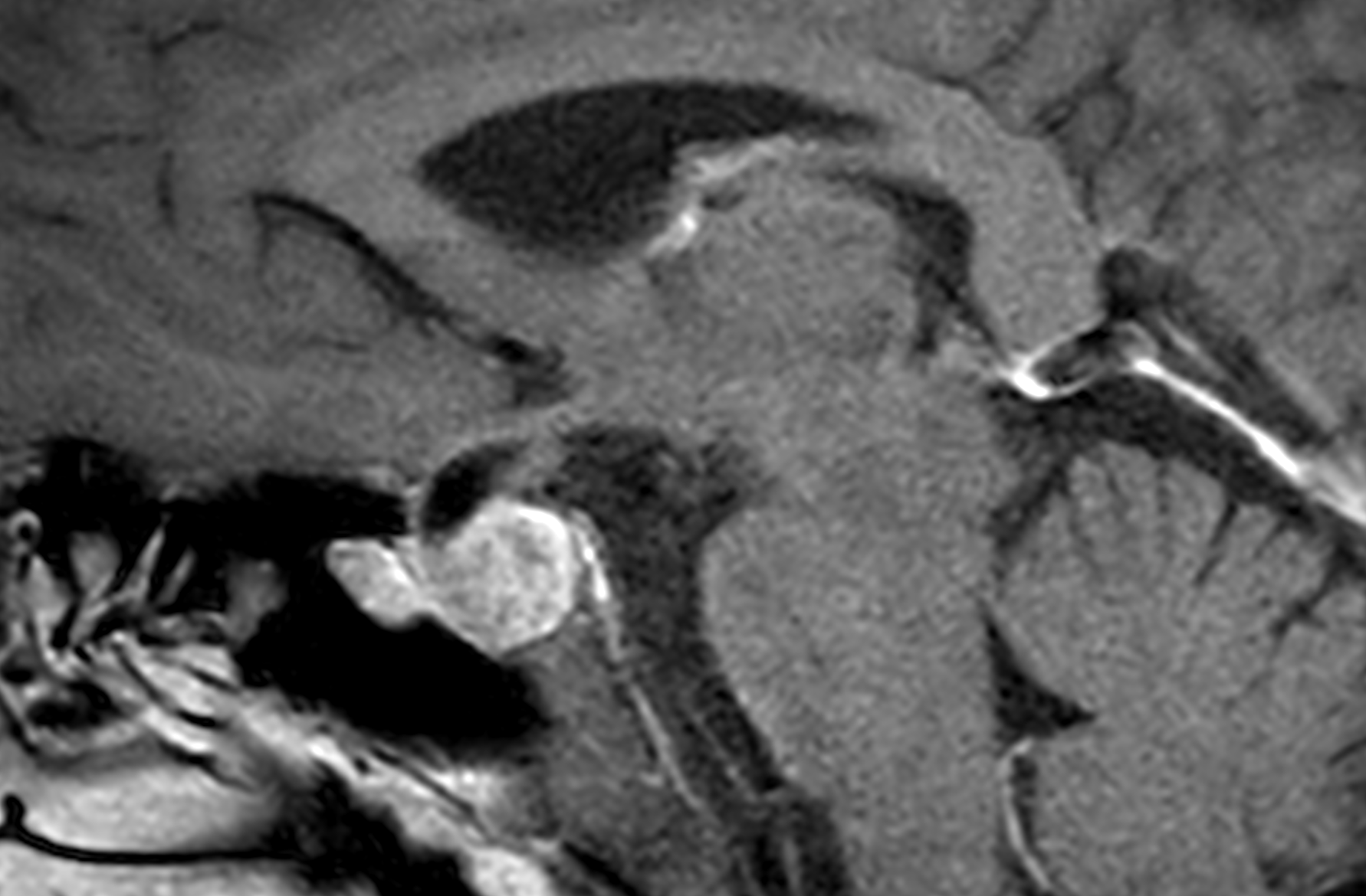
El adenoma de hipófisis es un tumor benigno que afecta la glándula pituitaria y puede provocar una amplia variedad de síntomas endocrinológicos y neurológicos. Gracias al enfoque multidisciplinar y a las técnicas quirúrgicas de vanguardia implementadas en IENSA, se ha conseguido mejorar significativamente el pronóstico y la calidad de vida de los pacientes intervenidos.
Los casos son variados según se trate de adenoma No Funcionantes o Funcionantes, lo que marca la indicación quirúrgica.
Compromiso con la excelencia sanitaria
El éxito de estas intervenciones refleja el esfuerzo continuo del equipo de IENSA por ofrecer una atención personalizada y basada en la última evidencia científica. El centro reafirma así su misión de ser un referente en el tratamiento de enfermedades neurológicas complejas, poniendo especial énfasis en la seguridad y bienestar de los pacientes.
Con estos resultados, IENSA se consolida como uno de los principales centros especializados en el abordaje quirúrgico del adenoma de hipófisis en España, reafirmando que la experiencia y la formación continuada de sus profesionales son claves para alcanzar los mejores resultados.
Como grupo podemos considerar una curación en la función hormonal en el Sd. de Cushing de un 93%, en microprolactinomas (sabiendo que NO es la cirugía la primera opción de tratamiento) conseguimos el 91% de los casos, en prolactinomas invasivos la curación es del 35%. Con una tasa de complicaciones muy baja, menor del 1% de fistula de LCR o de 0,5% de Diabetes Insipida.














